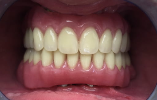
Кейс лечения
Весь кейс
Смотрите также другие отзывы
Людмила, 56 лет
Делала чистку 12.12.2025г.Очень осталась довольна.Как будто окунулась в СССР.Такая дружелюбная атмосфера.Огромное спасибо.Не зря ехала 4.5 часа.
Татьяна, 39 лет
Впервые посетили клинику. Приехали залечить зуб мужу. Первое что впечатлило, администратор клиники Наталья,улыбчивая, общительная и очень приятная женщина. Всё очень понятно рассказала и пояснила, даже…
Анастасия, 27 лет
Огромное спасибо всему персоналу клиники Аладен за безупречное обслуживание, дружелюбие и практически семейное
Оксана, 45 лет
Огромное спасибо и благодарность Екатерине Константиновне! Просто ювелирная работа! И не только! Очевидно,что она к пациентам относится очень заботливо.Это врач,который любит свою работу. Очень полезные…
Татьяна Матюх, 27 лет
Добрый день! Очень удивлена, что стоматология заявляет себя как для взрослых и детей, а по факту это не так. Так как не смогла записать ребенка на прием (2 года и 7 месяцев) на консультацию (хотя бы),…
.jpg)
.jpg)
.jpg)