Красивая белоснежная улыбка – желание каждого, но на практике даже качественный ежедневный уход за ротовой полостью не обеспечит безупречный результат. Дефекты эмали, большие межзубные промежутки, искривления и трещины негативно сказываются на привлекательности зубного ряда. Проблему усугубляет курение, чай, кофе и другие продукты, которые изменяют цвет эмали.
Современная стоматология имеет много методик решения таких проблем, но наиболее популярной считается установка компониров и виниров. Последний вариант более дорогой, при этом имеет высокие показатели качества и срока эксплуатации. Прежде чем решиться на такую процедуру, стоит понимать, что есть плюсы и минусы виниров на передние зубы, которые нужно учитывать заранее.

Для чего нужны виниры?
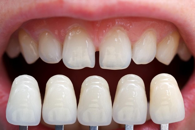
Виниры – это фарфоровые или композитные накладки толщиной до 0,5 мм. Такие декоративные элементы фиксируются на подготовленное основание зуба с использованием стоматологического цемента. Процедура позволяет в кратчайшие сроки восстановить эстетичность улыбки. Выбор моделей по тону эмали дает возможность подобрать оптимальный вариант для каждого пациента.
Особой популярностью виниры пользуются у публичных людей, что позволяет подчеркнуть статус и выглядеть презентабельно. Это идеальное решение для маскировки ряда несовершенств:
- искривление зубов в ряду;
- нарушение эстетики формы;
- изменение цвета на более темный;
- трещины и сколы;
- увеличенное межзубное расстояние.
Как правило, стоматолог рекомендует выполнить установку виниров в случае, если проведенная чистка и отбеливание не дали положительного результата. При этом врач должен предупредить, что есть ряд преимуществ и недостатков виниров, которые важно учесть, прежде чем отправиться на процедуру.

Плюсы виниров
Главное преимущество установки виниров – это возможность максимально быстро создать белоснежную и привлекательную улыбку. Накладки могут помочь снизить стираемость зубов и устранить определенные проблемы ортодонтического направления. При этом нужно выделить главные преимущества виниров:
- Используя качественные материалы и четко соблюдая технологию установки, срок эксплуатации превышает 10 лет.
- Постоянная модернизация накладок позволила превзойти по прочности и качеству даже цельнокерамические коронки.
- Профессиональные реставрационные роботы не позволяют окружающим отличить настоящие зубы от виниров. Дело в том, что изделие полностью повторяет текстуру, форму и тон зубов.
- Исходное сырье для протезов выполнено из биосовместимого сырья, за счет чего полностью исключены отрицательные реакции организма пациента.
- На поверхности накладок практически не образуется зубной налет. В отличие от компониров прочные виниры не меняют тон при употреблении красного вина, кофе, при частом курении. На протяжении эксплуатации они не теряют цвет, не мутнеют и не требуют дополнительного отбеливания.
- Изделия приятны на ощупь, имеют гладкую поверхность и позволяют сделать правильную форму зубного ряда. За счет этого употребление пищи становится комфортным.
- Еще один плюс – возможность защитить здоровые ткани от негативных внешних воздействий.
В процессе подготовки зуб обтачивается только на 0,5-0,75 мм, что существенно меньше в сравнении с обточкой под установку коронок. При этом нужно отметить, что установка винира категорически запрещена при болезнях десен или зубов. Требуется предварительное лечение.
Недостатки виниров
Для большинства людей виниры имеют единый минус – высокую стоимостью. При этом изделия практически идентичны качественным металлокерамическим коронкам. Срок эксплуатации последних в 2-3 раза превышает композитные. Кроме того, есть и другие минусы виниров:
- Основной недостаток – цена, из-за чего человек со средним доходом вряд ли сможет себе их позволить.
- Прежде чем поставить композитные накладки требуется процедура препарирования, которая предусматривает обточку зубов пациента. Это важный этап, который позволяет задать эстетическую форму и обеспечить хорошую прочность фиксации самих виниров.
- После установки в последующем восстановить свой здоровый зуб будет невозможно, поскольку он будет лишен эмали. Следовательно, для реставрации потребуется обновление виниров.
- Если процедура профессиональной чистки и последующего отбеливания зубов занимает от 10 минут до 2 часов, то на установку виниров требуется от 1 до 4 недель.
- Если рассмотреть химический состав, то композит из которого выполнены накладки – это стекло, прочность которого напрямую зависит от толщины. Соответственно, относится к таким изделиям нужно крайне бережно. Грызть семечки или колоть орехи зубами может быть дорогим удовольствием.
Виниры позволяют в относительно короткие сроки создать идеальную улыбку с ровными и белыми зубами. Важно отметить, что при наличии крепких и здоровых собственных зубов процедура не прибавит им дополнительной долговечности.